SLSOS

Full-Arch Laboratory Prescription

St. Louis South Oral & Maxillofacial Surgery

Dr. William A. Gray
DMD, MD, MBA, FACS
(314) 842-4699
Case Identification
Material, Shade, and Tissue
Global Design Intent
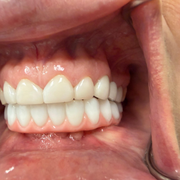
Standard Instruction: Fabricate this case as a highly anatomical, full-contour prosthesis with realistic cervical emergence, gingival architecture, and natural tooth form. The prosthesis should look like a mature natural dentition, not a flat monolithic bar with teeth set on top.
Maxillary-Specific Instructions
Standard maxillary protocol includes: minimal palatal bulk, anterior lip support per diagnostic wax-up, highest gingival characterization canine-to-canine, and natural arch form without excessive lingual overextension.
Mandibular-Specific Instructions
HIGH PRIORITY: The mandibular lingual polished surface must be designed to preserve tongue space, phonetics, swallowing comfort, and hygiene. Do not overbulk the lingual ridge under any circumstances.
RegionContour CharacterReference (mm)
Lingual frenumMost convex / broad shelf~4.7
Lateral incisor areaConvex shelf, full support~5.4
First premolar areaSlightly convex, transitional~4.8
First molar areaFlatter, reduced prominence~3.4
Anterior retromolar padFlattest, minimal bulk~2.8

Adjust to cast anatomy, prosthetic space, tooth position, vertical dimension, and clinical verification. These are reference values, not rigid prescriptions.

Functional Priorities
Design and evaluate this case against the following priorities in this order. The case must not be finalized with a bulky lower lingual contour even if the facial anatomy is highly developed.
1Phonetics / speech
2Tongue rest position
3Swallowing clearance
4Hygiene access
5Natural anatomical appearance
Gingival Characterization
Standard protocol includes: natural marginal scallop, papillary rise and fall, root-form indication in canine/premolar regions, attached-tissue texture, natural zenith placement, controlled asymmetry. Avoid featureless denture-style tissue, exaggerated stippling, excessive bulk in non-esthetic zones.
Occlusal Scheme
Hygiene and Cleansability
Standard: accessible intaglio surface, cleansable cervical transitions at all implant emergence sites, no plaque-retentive architecture, smooth transitions for brush/floss/water flosser access.
Clinical Verification Before Finalization
Required: Do not complete the case in final material without clinical confirmation of the following items at try-in.
Phonetics: S, F, Th sounds, counting test
Tongue rest position and lingual comfort
Swallowing: no gagging, no posterior lingual obstruction
Lip support and facial profile
Incisal edge position and display
Posterior tooth position and neutral-zone compatibility
Hygiene access: patient can reach all surfaces
Patient approval of aesthetics
Doctor-Specific Instructions
Lab Approval and Routing

Prescription Submitted

The lab prescription has been recorded and delivered securely.